No DNA mutations needed. Epigenetic changes can cause cancer.

Woah!

No DNA mutations needed. Epigenetic changes can cause cancer.
Parreno V., et al. 2024. Transient loss of Polycomb components induces an epigenetic cancer fate. Nature. DOI: 10.1038/s41586-024-07328-w

Cancer is generally understood to be the result of dysregulation of cellular processes that lead to the uncontrolled growth of cells.

For the longest time, our focus on what causes cancer has been centered on DNA mutations that result in the activation of oncogenes (promote cancer) and the repression of tumor suppressors (don't promote cancer).

But in our study of oncogenes and tumor suppressors, we noticed that many of these genes were involved in epigenetic regulation of the genome.

Epigenetic changes are loosely defined as non-sequence alterations that regulate gene expression.

So, we’re talking about all of the genes involved in how the information in our DNA is accessed (or not accessed).

And these include proteins that methylate DNA, modify histones (the little hockey pucks that wrap up and organize our chromosomes), move around histones, or change how our chromosomes fold into larger 3D structures.

While it makes sense that epigenetic regulation of gene expression is a major component of the development of cancer, we have, until now, not shown that epigenetic modifications alone were sufficient to create tumors.

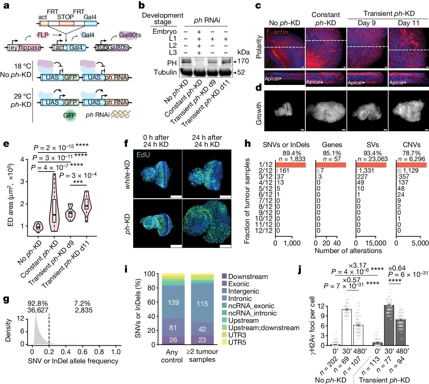
In today’s paper, the researchers focused on the activities of Polycomb group proteins (PcG) which make up the Polycomb repressive complex 1 and 2 (PRC1 and PRC2).

These are protein complexes that are involved in maintaining repressive (H2AK118Ub and H3K27me, respectively) marks on histones.

PcG proteins are highly conserved in eukaryotes and disruption of these complexes has been associated with developmental abnormalities and cancer.

But can disruption of PcG complexes and the loss of repressive marks on chromatin cause cancer?

The answer to that seems to be yes!

The figure below shows an experiment that was carried out in flies (share many of the same proteins as humans).

And because global loss of PRC complexes can cause bigger problems, they did these experiments in a very specific tissue, the eye disc (ED).

a) experimental setup where removal of ph (a component of PRC1) is controlled by exposure to different temperatures. b) the level of ph protein expression after the different temperature treatments. c and d) the development of ED tumors after treatment. e and f) short term loss of epigenetic control is enough to cause tumor development. g, h, and i) the tumors are likely NOT the result of DNA mutations. And j) DNA repair was not impacted.

Together these results indicate that it is possible for epigenetic changes to be solely responsible for the development of tumors.

These results also highlight the importance of epigenetic changes in cancer development.

And they underscore the utility of studying more than just DNA mutations in the genome.