Horseshoe crab blood to the rescue!

Horseshoe crab blood is our first line of defense against endotoxin contamination of surgical tools and medical devices. Seriously.

Horseshoe crab blood to the rescue!
Bang FB. 1956. A bacterial disease of Limulus polyphemus. Bull Johns Hopkins Hosp. PMID: 13316302

We figured out early on that sticking unsterilized medical equipment into people during surgeries usually ends badly.

And badly here means that a lot of people died from bacterial infections.

"Isn't that why we use an autoclave to sterilize those things?"

Yes, but that's only half of the solution.

Because gram negative bacteria also produce endotoxins like Lipopolysaccharide (LPS) which make up their cell wall.

Autoclave sterilization kills bacteria but has no effect on LPS which is a potent stimulator of the immune system and can lead to septic shock.

This can be caused by the Shwartzman Phenomenon which was first discovered by Gregory Shwartzman in 1926.

He found that injecting rabbits with two doses of gram negative bacteria (have an endotoxin laden cell wall) but not gram positive bacteria (no endotoxin) led to severe, hemorrhagic necrosis at the injection site - or, the immune system reacted, clotted the area, and caused the cells in that location to die.

You can see why endotoxin contamination of medical devices and other things that make contact with blood might be a bad thing.

So, for a long time, device manufacturers kept large colonies of rabbits and used them as endotoxin detectors.

At the end of manufacturing, devices would be washed with a saline solution and that would then be injected into a rabbit. If the rabbit got a fever, it meant the device was contaminated.

However, the rabbits got a reprieve in 1956 when Frederick Bang made a crazy discovery while studying the horseshoe crab Limulus polyphemus.

One of his crabs got sick, became lethargic and died. Upon closer inspection, he noticed that the crab's blood turned into a thick gel.

Doing what any curious scientist would, he cultured the blood, saw gram negative bacteria (endotoxins!), and injected the cultures into a bunch of other crabs.

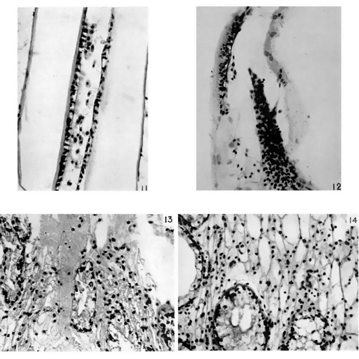
Today's figure is a compilation of the 'before and after' of those injections. Figures 11 & 13 are 'before,' and 12 & 14 are the clotted 'after.'

Bang, thinking this looked a lot like the Shwartzman Phenomenon on steroids, hired Jack Levin, a hematologist (blood nerd) to study this effect further.

What Bang and Levin discovered was that horseshoe crab blood cells, called amoebocysts, are highly sensitized to endotoxins and secrete a massive amount of clotting factor in an attempt to stop an infection!

It was quickly realized that a test based on horseshoe crab blood would be WAY cheaper than maintaining rabbit colonies and in the 1970's the FDA approved the Limulus Amoebocyte Lysate Assay for this use.

More recently, regulatory changes were proposed in 2023, enabling the use of a synthetic version of this test, and should reduce the bleeding burden of our crab friends.