mRNA vaccines almost didn't happen

It is estimated that COVID-19 vaccination has prevented over 20 million deaths worldwide. We can thank the dogged perseverance of a browbeaten scientist for that.

mRNA vaccines almost didn't happen
Karikó K et al. 2005. Suppression of RNA Recognition by Toll-like Receptors... . Immunity. DOI: 10.1016/j.immuni.2005.06.008

Katalin Karikó’s love of mRNA began during her postdoc at the Biological Research Centre of Hungary.

She had a feeling mRNA was destined for greatness, and moved to the US with her family in 1985 to continue her pursuit of turning it into a therapeutic.

However, as a foreign scientist in the US, she was often passed over for faculty positions and grants.

She persisted in spite of these setbacks.

Fortunately, a chance meeting with Drew Weissman led to one of the most important discoveries in modern medicine.

In 1997, Weissman had just completed his fellowship under the supervision of Anthony Fauci, and was in desperate need of some mRNA.

Karikó provided that mRNA but they noticed that it caused an inflammatory response in mice, which, unfortunately, would limit its usefulness as a therapeutic.

Undeterred, the pair decided to figure out why.

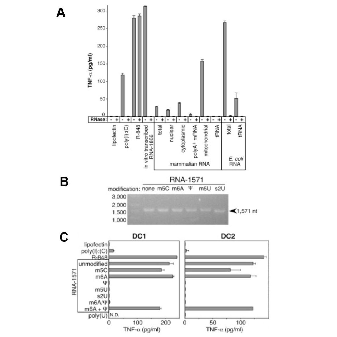
The figure above shows what they discovered.

In A, Dendritic Cells (produce TNF-α, an immune cytokine) were treated with 3 controls (poly I:C - synthetic RNA, R-848 - a drug, and in vitro transcribed RNA) which are known to stimulate the immune system along with isolated mammalian RNAs, and bacterial RNAs.

Only mitochondrial RNA and bacterial RNA induced a strong response (in addition to the controls), while tRNA had no effect!

So, what accounts for this difference?

Karikó and crew thought that since 25% of tRNA bases are modified, maybe that’s what prevented most of the mammalian RNAs from sounding the alarm!

In B, mRNA was transcribed using modified nucleotides: 5-methylcytidine (m5C), N6-methyladenosine (m6A), pseudouridine (Ψ), 5-methyluridine (m5U), or 2-thiouridine (s2U).

And in C, those mRNAs were introduced into dendritic cells.

The modified uridine containing mRNAs failed to cause an immune response.

Success!

Karikó later showed that Ψ containing mRNA produces the most protein and that those transcripts last for up to a month.

However, neither the institution where she was employed nor the US government recognized the tremendous potential of her work.

And so, she left the 'Mean Girls' culture of US academia and joined a little German company called BioNTech.

She continued her collaboration with Weissman and, with BioNTech, developed the first experimental vaccine using modified mRNAs against Zika in 2017.

BioNTech went on to produce the first mRNA vaccine for SARS-CoV-2 with doses being delivered worldwide in less than 8 months.

The recent value of this achievement can be measured in tens of millions of lives, but its future has the potential to save hundreds of millions more.

Karikó and Weissman were awarded the Nobel Prize for this work in 2023.