Neuroscience How does the brain control perception of everything around us? Deep brain structures play a key role in filtering out what we perceive
Proteomics The proteasome and lysosome decide what proteins live or die The importance of taking out the trash: An overview of cellular protein degradation pathways.
Molecular Biology Jelly fish proteins started brightening up microscopy in 1994 In 1994, an obscure jellyfish protein was stuck into a worm. It has enlightened biology and medicine ever since.
Population Genetics Sequencing exomes in healthy populations pays dividends In a development that should surprise no one, population scale exome screening finds actionable variants.
Proteomics Translation complicates the proteome, big time! Translating the Proteome: There’s more to making proteins than just transcribing DNA into mRNA.
Gene Expression The Lac Operon showed us that gene expression can be regulated 'If gene expression determines the function of a cell, it must be important to control that process?' Yes, very! Let me tell you about the PaJaMo experiment.
Nanopores Will nanopores enable single molecule protein sequencers? Brain storming about nanopore based protein sequencing generates new hypotheses to test
Proteomics Proteoforms make proteomics infinitely more complicated than genomics Proteoforms: This is where things start to get complicated.
Molecular Biology Horseshoe crab blood to the rescue! Horseshoe crab blood is our first line of defense against endotoxin contamination of surgical tools and medical devices. Seriously.
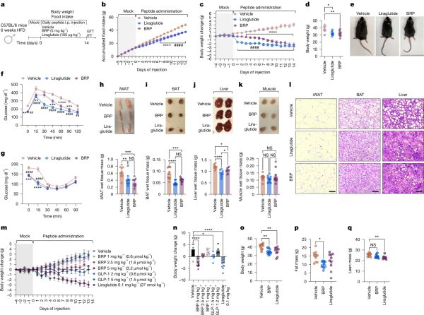
Molecular Biology In silico identification of a side effect free weight loss peptide The quest to find better tolerated weight loss drugs is well on its way and computational drug discovery has already identified at least one promising candidate!
Proteomics The proteome is so hot right now The Proteome: we can’t live without it, but, what actually is it?
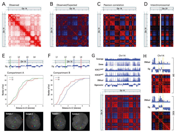
Epigenetics Hi-C showed us that the genome has topology While chromosomes are usually depicted as X's, they actually spend most of their time jumbled up like a giant ball of yarn.
Paid-members only High-Throughput Sequencing Turnabout is fair play as Illumina gets caught up in a trade war kerfuffle
CRISPR The creation of the (adorable) Woolly Mouse-mmoth! Colossal Biosciences makes a mini-mammoth mouse using multiplex gene editing
Genomics Just because it's in your genes, doesn't mean it's your fate One thing we constantly battle in genomics is, “What does it all mean?”
Epigenetics The formulation of the histone code forever changed our view of the genome Histones were once thought to just be dumb structural proteins that held chromatin together; now we know that the ‘histone code’ is a major regulator of gene expression.
Paid-members only Proteomics Will Nautilus Biotechnology ever release their proteome fingerprinting product?